- トップ
- 患者様の声・症例紹介・ブログ
- 症例紹介
患者様の声・症例紹介・ブログ
- 患者様の声
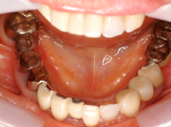
- 症例紹介
- お知らせ
- 歯の豆知識
(虫歯治療・一般歯科) - 歯の豆知識
(歯周病治療) - 歯の豆知識
(根管治療) - 歯の豆知識
(インプラント治療) - 歯の豆知識
(矯正歯科・小児矯正歯科) - 歯の豆知識
(小児歯科・小児矯正) - 歯の豆知識
(予防歯科) - 歯の豆知識
(口腔外科・レーザー治療) - 歯の豆知識
(入れ歯) - 歯の豆知識
(審美歯科・ホワイトニング) - 歯の豆知識
(その他)
- 症例紹介
- 2025/02/04
- 症例紹介
- 2024/06/25
- 症例紹介
- 2024/02/20
- 症例紹介
- 2023/12/16
- 症例紹介
- 2017/02/17
- 症例紹介
- 2017/02/17
- 症例紹介
- 2017/02/17
- 症例紹介
- 2017/02/17
- 症例紹介
- 2017/02/17
- 症例紹介
- 2017/02/17
- 症例紹介
- 2017/02/17
- 症例紹介
- 2017/02/17
















