歯並びを整えて笑顔で自信を持てる口元に

加古川市の歯医者「ふじひら歯科医院」では、国立岡山大学より5名の矯正専門医を招き、専門性の高い矯正治療を提供しています。お子様向けの小児矯正はもちろんのこと、大人の方向けの成人矯正も対応可能です。欧米では社会的な評価に繋がるほど、当たり前の治療になってきました。歯並びが気になる方、お子様の歯並びが気になる親御様は、無料相談を開催していますので、まずはご相談からお気軽にご利用ください。
矯正相談日にお越しください

当院では、矯正無料相談を実施しており、国立岡山大学歯学部矯正歯科学科と連携を図り矯正専門医を招いて、患者様の歯並び・咬み合わせに関するご相談をお伺いしています。どのようなことでも丁寧にわかりやすくお答えしていますので、ぜひご利用ください。
| 日時 | 第1・第3土曜日 11:00~18:00 |
|---|
歯並びが気になる方へ ~矯正治療をおすすめする理由~

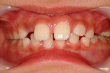
「前歯が出ている」「歯並びがガタガタ」といった歯並びに関するお悩みはありませんか? 歯並びの乱れは見た目の問題はもちろんのこと、しっかり咬めず食べ物を上手く咀嚼(そしゃく)できずに消化不良になりやすかったり、歯と歯の間の隙間に食べかすがはさまりやすく、それが原因で虫歯や歯周病になりやすかったりと、さまざまな問題を生じます。
欧米では歯並びをキレイにすることは一種のステータスとなっています。3秒で決まると言われる第一印象や人間関係や社会的な評価にも繋がるため、一種の自己表現でもあるのです。さらに正しい歯並び・咬み合わせは、見た目の問題の解消はもちろん、虫歯・歯周病の予防、消化不良の改善などさまざまな身体的な好影響ももたらします。
矯正治療の2つのメリット
| メリット1: 印象が良くなる |
きれいに並んだ歯列は相手に好印象を与えます。また、自分自身も笑顔に自信が持て、明るく前向きに過ごせるようになります。 |
|---|---|
| メリット2: 虫歯や歯周病にかかりにくい |
歯並びが悪く歯が重なるように生えていたり隙間があったりすると、みがき残ししやすくなり、虫歯や歯周病になるリスクが高くなります。 きれいな歯並びにすることで口腔内を清潔に保ちやすくなることから、虫歯や歯周病の予防、口臭の改善につながります。 |
お子様の歯並びが気になるご家族の方へ

「ウチの子の歯並びは大丈夫かな……」と、ご心配を抱えている親御様もいらっしゃることでしょう。小学生の間の成長をうまく利用して矯正できれば、体に優しく、後戻りのない歯列の育形成が可能です。
ご心配なら一度ご来院いただき、歯並びをチェックさせていただいた方が安心ですが、良い歯並びの条件があります。参考までにご確認ください。
- 条件1:上下の前歯の中心がまっすぐに揃っている。
- 条件2:中心から2番目以降の歯が、2分の1ずつずれている。
- 条件3:上の歯が下の歯に2~3mm重なっている。
- 条件4:上の歯が下の歯より2~3mm前に出ている。
お子様の矯正治療のタイミングについて

矯正治療は大人になってからもできますが、お子様の時期にはじめることで。「歯を抜かずに済む可能性が高くなる」「短期間の治療で済む」「痛みが少ない」といったメリットがあります。小児矯正のゴールは、すべての永久歯の歯が上下でしっかり咬み合うようにすることです。そのため、永久歯にすべて生え揃う前後のタイミングを見計らってはじめることが大切です。
3歳児からの受け口治療
受け口とは下の前歯が上の前歯よりも前に出ている状態のことで、反対咬合とも呼ばれています。受け口だと歯並びの問題に加え、しゃくれた顔つきにもなるので悩みを抱えるお子様や親御様も少なくはありません。当院では、3歳から使用できるマウスピース型の機能的顎矯正装置「ムーシールド」を採用しています。誤飲への配慮など、小児治療に適した仕様になっていますので安心してご利用いただけます。
当院では、お子様の口腔内の状態を確認し最適なタイミングをお知らせしています。お子様の歯並びが気になるという親御様は当院までお気軽にご相談ください。
当院の矯正治療を行う際3つのポイント
当院では、「咬み合わせ」「審美性」「機能性」の3つのポイントを重視して矯正治療を行っています。見た目が整っているだけでは、適切な矯正治療ができているとは言えません。「良い歯並び」とは「良い咬み合わせ」であるということです。きれいに整った審美性に加え、歯の機能面においても問題がないことではじめて「良い歯並び」と言えます。
| ポイント1: 咬み合わせ |
咬み合わせが悪いと口腔内のバランスが悪くなり、それが肩や首の筋肉にも負担をかけることになり、肩こりや頭痛、顎の痛みなどを招いてしまうケースがあります。咬み合わせを改善することで、咬み合わせが原因で起こっていた不調を改善することにつながります。 |
|---|---|
| ポイント2: 審美性 |
歯並びがきれいになることで口元のコンプレックスが解消され、笑顔に自信が持てるようになります。また人に好印象を与えることもできます。 |
| ポイント3: 機能性 |
矯正装置が目立つことを気にされる患者様は少なくありません。当院ではできるだけ目立たない装置を使用し、治療中でもコンプレックスにならないよう配慮しています。 |
混合歯列期(一期治療)と永久歯列(二期治療)の流れ
-
初診相談(無料)・検査
-
資料採得
-
診断
-
混合歯列期の治療(一期治療)
- 混合歯列期(一期治療)とは、子供の矯正治療には永久歯がバランス良く生えるように乳歯と永久歯が混ざった混合歯列期に顎の成長をコントロールする治療
-
再診断
-
-
一期治療終診
-
永久歯列期の全体的な治療(二期治療)
- 永久歯列期(二期治療)とは、永久歯が生えそろった後(顎の成長がほぼ終了した後)にブラケットとワイヤーなどをつけて永久歯の歯並びと咬み合わせを仕上げる治療
-
保定
-
定期検診
当院の取り扱い矯正治療・装置
永久歯列期
| メタルブラケット | ||
|---|---|---|
![]() |
歯の表側に金属製のブラケットを接着する、一般矯正(頬側[きょうそく]矯正)に使用される装置です。 メタルブラケットは、どうしても装置(ブラケット)が目立つという難点がありますが、金属のブラケットは、金属の特性により、薄くて丈夫です。 |
¥720,000 |
| クリアブラケット | ||
|---|---|---|
![]() |
セラミックブラケットは、セラミック製の装置(ブラケット)を、歯の表側に接着する、一般矯正装置(表側矯正、頬側[きょうそく]矯正)です。 目立たずに矯正治療を行うことができます。 装置が目立つのを気にされる方に適した装置です。 治療期間はメタルブラケットを用いた場合と変わりません。 |
¥800,000 |
| クリアライナー | ||
|---|---|---|
![]() |
透明で、目立たない取り外しが可能なマウスピースの矯正装置です。 | ¥800,000~¥1,000,000 |
(料金は全て税別です)
混合歯列期
※表は左右にスクロールして確認することができます。
| 拡大床装置 | ヘッドギア | リンガルアーチ (舌側弧線装置) |
|---|---|---|
![]() |
![]() |
![]() |
| 顎の幅を拡大する装置です。 | 顎の位置のコントロールや、奥歯の固定に使用される補助的な装置です。 | 歯列の裏側に装着して、ワイヤーのバネの力で歯の傾きを矯正する装置です。数本の歯の傾きを治したり保隙としても使用致します。 |
| 混合歯列(メタルブラケット) ¥520,000 | ||
(料金は全て税別です)
※表は左右にスクロールして確認することができます。
| タングクリフ(習癖除去装置) | バイトプレート(咬合拳上板) |
|---|---|
![]() |
![]() |
| 幼児の舌突出癖を防止するために用いられる装置です。 | 咬み合わせの高さを一時的に上げる装置です。 |
| 混合歯列(クリアブラケット) ¥600,000 | |
(料金は全て税別です)
| MUHアプライアンス (受け口の機能的矯正装置) | ||
|---|---|---|
![]() |
乳歯列期に受け口(反対咬合)を改善する装置です。 | 既製品 ¥50,000 ※オーダーメイドの装置の場合は(¥30,000)加算されます。 |
(料金は全て税別です)
永久歯列期・混合歯列期
| 片顎(上顎のみor下顎のみ) | ||
|---|---|---|
![]() |
上顎もしくは下顎のみの矯正する治療です。 | ¥420,000 |
(料金は全て税別です)
| MTM (部分矯正) | ||
|---|---|---|
![]() |
全体的に大きな問題はないが、一部のみ気になるところがある場合、部分的に行う方法です。 | メタルブラケット ¥320,000 |
| クリアブラケット ¥360,000 |
||
(料金は全て税別です)
| 二歯までの部分矯正 | ||
|---|---|---|
![]() |
1本もしくは2本だけの歯を部分矯正する治療です。 | ¥270,000 |
(料金は全て税別です)
| MEAW法 | ||
|---|---|---|
![]() |
成人矯正に用いられます。前傾した歯を起こしたり奥歯を圧下させたりできる装置です。 | 永久歯列矯正の治療費に含まれます。 |
(料金は全て税別です)
| インプラントアンカー | 矯正抜歯 | ||
|---|---|---|---|
| 顎の骨に小さな矯正用のインプラントを埋め込み、歯を動かす固定源となる装置です。 | 1本 ¥30,000 | 矯正時の便宜抜歯です。 | 1本 ¥5,000 |
(料金は全て税別です)
※尚、矯正治療上必要となった抜歯や虫歯医療、歯周病治療、補綴治療は矯正料金に含まれておりません。
※装置によっては別途費用がかかる場合がございます。
| 初診相談 | 現在の歯並びの状態や矯正治療の流れについてご説明致します。 |
|---|---|
| 資料採得 | 治療に必要な資料 (パノラマ撮影・頭部エックス線写真・セファロ・口腔内写真&顔面・歯型印象) を採得致します。 |
| 大学での精密検査 | 採得させていただきました資料を国立岡山大学歯学部に送り精密検査させて頂きます。 |
| 診断 | 精密検査の結果のご説明・治療計画の説明・矯正装置・治療期間・費用などのご説明を行います。 |
ふじひら歯科医院で矯正治療を受けられるメリット
| メリット1: | 当院に通いながら国立岡山大学矯正科の最も高いレベルで専門的治療が受けられます。 | ![]() |
|---|---|---|
| メリット2: | ご相談は無料です。歯並びでお悩みの方は国立岡山大学矯正科の専門医に相談を受けて頂けます。 | ![]() |
| メリット3: | 私達は、患者様を自分の家族のように思い治療を行っております。患者様が安心して治療を受けて頂けるよう親身になってお話をお聴き致します。 | ![]() |
| メリット4: | 患者様に負担の少ない治療、少しでも期間を短縮できるような治療を提案致しております。歯を抜かずに歯と歯のすき間を削らせて頂いたり、なるべく負担を少なく出来る方法を考えております。 | ![]() |
| メリット5: | 装置やワイヤーが入ると数日は痛む場合もありますが最新の技術を取り入れておりますので、随分と痛みは軽減されております。 | ![]() |
| メリット6: | 矯正治療と平行して定期検診も行っております。同時に虫歯治療・歯周病治療も行うことができます。 | ![]() |
Q&A
- 子供の矯正について知りたい、子供の歯並び大丈夫かしら?
- 永久歯に生え変わるお子様の歯並びって気になりますよね。「子供の矯正治療はいつから始めればよいか?」などしっかりと相談されることをおすすめ致します。
当院では毎月2回、第1土曜日・第3土曜日に国立岡山大学矯正科の専門医がそんな気になる歯並びについて無料相談させて頂きます。
- 矯正装置のギラギラはイヤ!周りの人に気付かれずに矯正するには?
装置が目立つと話したり口を開けるのに抵抗がある。 - 当院ではクリアブラケットを取り扱っております。
クリアブラケットとは透明色や白色目立たない色のセラミックのブラケットの事を言います。表側に矯正装置を付けるので装置自体は見えますが、金属ブラケットよりも目立たないのが特徴です。
- 小さなお子様が矯正装置を入れることでまわりの友達から、からかわれたりしないでしょうか?
- 装置はお口の中で唇に覆われている為、想像されている程装置が気になったり、目立つ事は少ないと思われます。
きれいな歯並びは欧米では
①家庭の教育や躾を表し、出世や結婚にまで影響すると言われております。
②とくに、日本在住の外国人はなぜ日本人が悪い歯並びを治さないのかと不思議がります。
③欧米人の2人に1人は矯正治療を受けているのです。
④良い歯並び、ステキな笑顔はその人の人となりや評価を大きく左右します。
- インプラントアンカーって痛くないの?
- インプラントアンカーの埋め込みは麻酔を含めて20分~30分程で完了し痛みはほとんどありません。
従来の歯列矯正は奥歯を固定源として歯を並べる為、歯に対してかけることができない力の方向がありましたがインプラントアンカーはその固定源を歯に求めずインプラントに求めるため自由な方向に力を発揮させるとこが可能となり、より理想的な治療を行えるようになりました。
小さなピアスのような装置です。
- 矯正治療は医療費控除の対象になりますか?
-
「噛み合わせが悪いので歯列矯正が必要」と判断されるなど“治療を目的とした歯列矯正”ならその年の1年間1月1日から12月31日までの間に10万円以上の医療費を支払った場合に、一定の金額の所得控除を受けることができます。(最高200万円まで)
税務署へ確定申告することで、治療費の一部が戻ってきますので明細や領収書などは必ず保管をしておきましょう。
ただし、見た目を美しくしたいなど美容目的で行う歯列矯正は、医療費控除の対象外です。
症例
女性 53歳
前歯のでこぼこが気になると来院されました。

before

After
| 全顎にクリアブラケットを装着、ワイヤー固定で歯を動かしました。 右上の被さっていた歯とその横の奥に下がっている歯もきれいに並びました。 奥歯のむし歯治療もされ、お身体に優しいゴールドとセラミックの被せ物も入り見た目もとてもきれいになりました。 |
|||
| 期間 | 3年7ヶ月 | 矯正費用 | ¥840,000 |
|---|---|---|---|
(料金は全て税別です)
女性 9歳
右上の前歯が飛び出ているとのことで相談されました。

before

After
| 深い咬み合わせの為、咬み合わせを上げるマウスピースを装着し出ている前歯を奥に下げました。 | |||
| 期間 | 2年7ヶ月 | 矯正費用 | ¥546,000 |
|---|---|---|---|
(料金は全て税別です)
女性 30歳
上顎前歯突出が気になるとのことで相談されました。

before

After
| 着脱可能な装置で装着できるか確認の上、表面にメタルブラケットを装着しワイヤー固定をして歯をきれいに並べました。 | |||
| 期間 | 2年3ヶ月 | 矯正費用 | ¥756,000 |
|---|---|---|---|
(料金は全て税別です)
男性 9歳
下顎の隙間と上顎が前に出ているのが気になるとのことで相談されました。

before

治療中(メタルブラケット装着中)

After
| ヘッドギアで上顎の成長のコントロール、歯を並べるスペースを確保し、前歯のすき間が目立たなくなりました。 | |||
| 期間 | 3年 | 矯正費用 | ¥756,000 |
|---|---|---|---|
(料金は全て税別です)
男性 21歳 上下開咬 叢生

before

治療中(インプラントアンカー埋入中)

After
| 上下の前歯が咬み合っていないこと、歯のガタガタが気になるとのことで相談されました。スペース確保の為、抜歯を行いインプラントアンカーを固定源として矯正治療を行いました。表面にメタルブラケットを装着し、ワイヤー固定をしてきれいに並びました。 | |||
| 期間 | 3年11ヶ月 | 矯正費用 | ¥882,000 |
|---|---|---|---|
(料金は全て税別です)
注意点
1. 矯正治療中はむし歯を作らないよう、より丁寧な歯磨きが必要になります。
2. マウスピースでの矯正は、マウスピースをきちんと一定時間以上入れれている事が重要になります。
3. 矯正治療中は歯肉炎や歯周病もおこしやすくなりますので、毎食後きちんと歯磨きを行うことが大切です。
4. ヘッドギア等の(歯列の育形成は)お子様の顎矯正は成長を利用した、とても体にやさしい治療になりますが、定められた時間以上装着することが大切になります。
5. インプラントアンカーを利用した治療は、しっかりとした固定源を得る事ができ、成人矯正には特に有効ですが¥30,000/本の費用が必要となります。
歯の冷凍保存・移植

当院では広島大学病院と提携し、歯の冷凍保存を行うことができ、抜いた歯を冷凍保存し歯を失ってしまった別の場所に移植することができます。
矯正治療の際に抜歯をしなければいけないことがありますが、必要な場合には移植することができるのです。これにより、歯を失った場合でもご自分の歯を使うことができ、抜いてしまった歯を有効活用することができます。詳細は当院にてご説明しますので、お気軽にご相談ください。















































